Laser Gum Treatment
Offers Gentle Solutions

Your Dental Implant Transformation Starts Here!

The Benefits of LANAP Gum Disease Treatment

If you’re struggling with gum disease, you’re not alone! Let us help…..


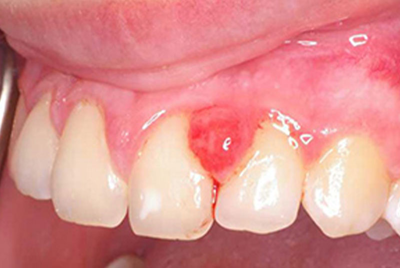
This innovative procedure targets and removes diseased tissue while promoting the regeneration of healthy gum tissue, reversing the damage of periodontal disease and potentially saving your smile.
Risk-Free Consultation
Are You A Candidate?

Traditional Surgery Vs. Laser Gum Surgery

Gum disease surgery often requires cutting and stitching, which can lead to a longer and more uncomfortable recovery. While it’s an effective periodontitis treatment, many patients are hesitant due to how invasive it is and how much time recovery takes.

LANAP laser gum disease treatment offers a modern alternative, using laser technology to precisely target diseased tissue while preserving healthy gums. This means less pain, quicker healing, and a more predictable approach.

Common Symptoms of deep pocket depths and gum disease are as follows:

How Do I Start?

In one quick, easy, risk-free consultation you will learn:

To Speak With one of our periodontal experts call now!

You Deserve the Best

When it comes to advanced care in periodontics and laser dentistry, you deserve the highest standard of treatment. At PerioWest, we provide a comprehensive approach that combines expert diagnosis, minimally invasive techniques, and personalized care—all in one convenient location.

Using state-of-the-art laser technology and years of specialized experience, our team delivers exceptional periodontal care, promoting healthier gums and lasting results. Dr. Andrés Sánchez and their dedicated team are trusted to manage even the most challenging cases, ensuring precision and excellence every step of the way.

Empower Your Smile!

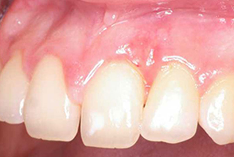
Before After
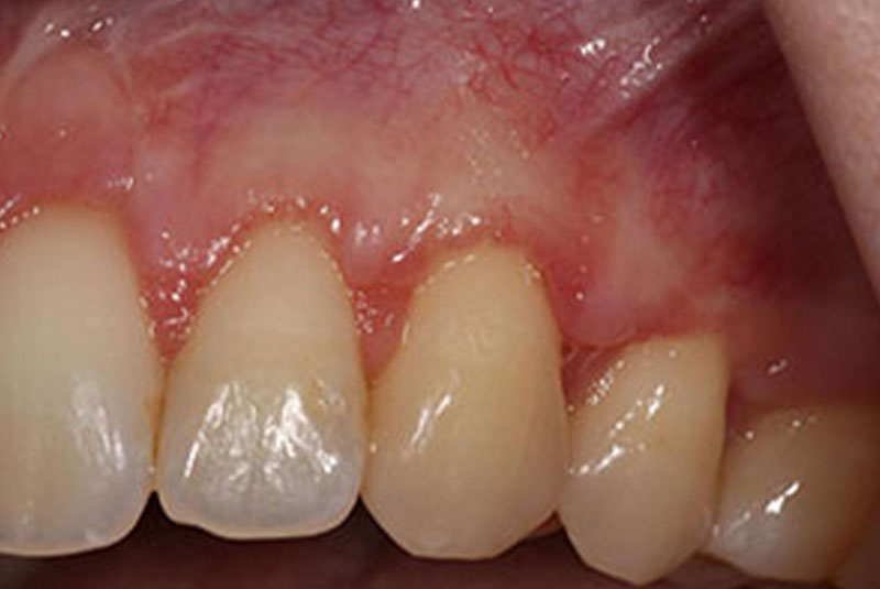
Before After
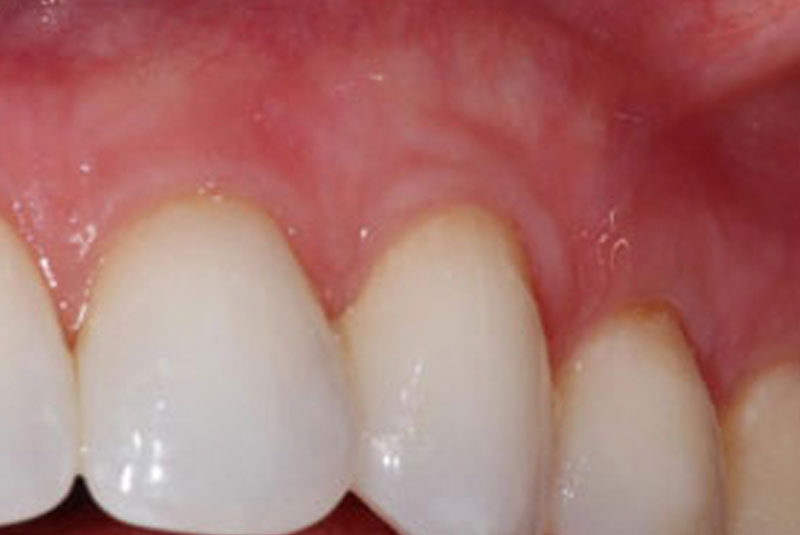
Before After
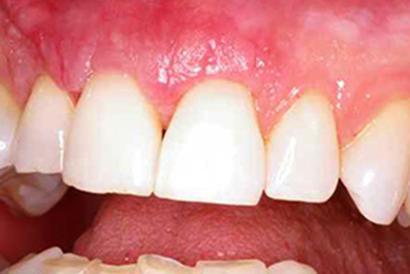
Before After

Superior Treatments ... Better Results ... at the Best Price!

Superior Treatments ...
Better Results ...
at the Best Price!

1 +
Years Of Experience

Meet Dr. Andrés Sánchez

Dr. Sánchez hails from Santa Fe, Argentina, where he was both born and raised. His journey into the dental field commenced at Rosario National University in Argentina, where he attained his dental degree in 1995. In the subsequent year, 1996, he further honed his expertise through a one-year fellowship in general dentistry. His practice thereafter revolved around general dentistry with a keen focus on periodontics and implant dentistry for a span of five years.

In 2004, a significant milestone was reached as he earned his Certificate & Master’s Degree in Periodontics from the renowned Mayo Clinic in Minnesota. As the years progressed from 2005 to 2008, Dr. Sánchez served as a dedicated Assistant Professor at Marquette University School of Dentistry.

Our Patients tell the story best

Our Patients tell
the story best

Phone Number

Office Location

7810 Terrey Pine Court
Eden Prairie, MN 55347

Office Hours

Monday: 8AM – 5PM
Tuesday: 7AM – 4PM
Wednesday: 8AM – 5PM
Thursday: 7AM – 4PM
Friday: 7AM – 12PM
Saturday & Sunday: Closed

Get information on Periodontal Treatment

Answer The Following Questions To Learn More.